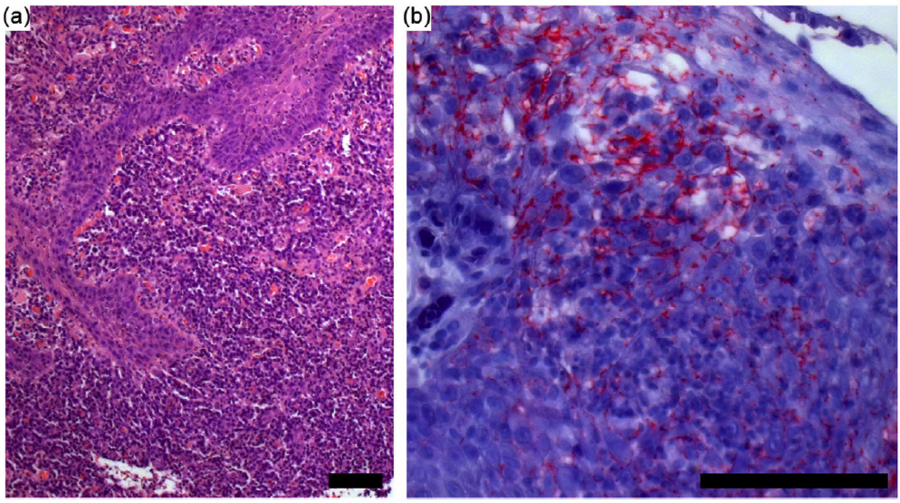
Klinischer Verlauf
Serologisch zeigten sich ein TPHA-Titer von 1:40 000 (Referenzbereich < 1:80), ein FTA-ABS-IgM-Titer von 1:2560 (Referenzbereich < 1:10) und ein RPR-Titer von 1:256 (Referenzbereich < 1:1), vereinbar mit einer Syphilis. Somit wurde die Diagnose der Angina specifica gestellt. Screening-Tests für humanes Immundefizienz-Virus, Hepatitis B und C blieben negativ und es wurden keine anderen sexuell übertragbaren Erreger wie Chlamydia trachomatis, Neisseria gonorrhoeae oder Mycoplasma genitalium gefunden.
Eine neurologische Beteiligung lag nicht vor. Der Patient berichtete über heterosexuelle Kontakte, machte jedoch keine weiteren Angaben zu möglichen Hochrisikokontakten oder deren Zeitpunkt. Aufgrund der unklaren Infektionsdauer erfolgte die Therapie mit drei intramuskulären Injektionen von jeweils 1,2 Millionen Einheiten Benzathin-Penicillin G an den Tagen 1, 8 und 15. Zur Prophylaxe einer Jarisch-Herxheimer-Reaktion wurde vor der ersten Penicillin-Gabe eine einmalige orale Gabe von Prednisolon in einer Dosierung von 1 mg/kg Körpergewicht verabreicht. Die Symptome bildeten sich rasch zurück, und die Serumtiter zeigten im Verlauf einen adäquaten Abfall.
Diskussion
Angina specifica, auch Angina syphilitica, beschreibt die Syphilis der Tonsillen und ist eine eher seltene Manifestation der sekundären Syphilis (1). Wie im beschriebenen Fall präsentiert sie sich in der Regel als bilaterale Tonsillitis begleitet von einer diffusen Pharyngitis (2). Differenzialdiagnosen umfassen alle virale und bakteriell verursachte Halsentzündungen wie Streptokokken-Angina, Diphtherie oder Epstein-Barr-Virus-assoziierte Tonsillitis sowie die Angina agranulocytotica (3). Syphilis, verursacht durch die Spirochäte Treponema pallidum subspecies pallidum (4 ), ist eine sexuell übertragbare Infektion. Weltweit ist die Inzidenz in den vergangenen 30 Jahren gestiegen, mit einem besonders alarmierenden Anstieg seit 2010 in einkommensstarken Regionen wie den Vereinigten Staaten und Europa (5–7).
In Deutschland wurden im Jahr 2022 insgesamt 8305 Fälle registriert, was einer Inzidenz von zehn Fällen pro 100 000 Einwohner entspricht (8). Die höchsten Syphilis-Inzidenzen in Deutschland wurden aus den Metropolregionen Berlin, Köln und München gemeldet; am häufigsten betroffen waren Männer im Alter von 30–39 Jahren. Sexuelle Kontakte zwischen Männern waren bei weitem der häufigste vermutete Übertragungsweg (85,6 %) (8). Syphilis tritt in drei unterschiedlichen Stadien auf und wird aufgrund ihrer vielfältigen klinischen Erscheinungsformen auch als „der große Imitator“ bezeichnet. Die primäre Syphilis erscheint typischerweise 2 bis 6 Wochen nach der Infektion als schmerzloses induriertes Ulkus an der Stelle, die mit der aktiven Läsion des Sexualpartners in Kontakt gekommen ist. Sie findet sich am häufigsten im Genitalbereich, gefolgt vom Mundbereich. Hier können alle Strukturen wie Lippe, Zunge, Mundschleimhaut, Tonsillen und Zahnfleisch betroffen sein (9). Die sekundäre Syphilis entwickelt sich gleichzeitig oder bis zu circa 6 Monate nach Abheilung des Primärstadiums und ist oft durch einen nichtjuckenden Ausschlag mit Beteiligung von Handflächen und Fußsohlen gekennzeichnet (10). Darüber hinaus können systemische Symptome wie Fieber, generalisierte Lymphadenopathie, Alopezie sowie – bei einem kleinen Teil der Patienten – Condylomata lata beobachtet werden (4). Bei bis zu 22 % der Fälle sekundärer Syphilis kommt es zu einer oralen Beteiligung, die sich meist in Form von Schleimhaut-Maculae oder -Ulzerationen manifestiert (11). Die Syphilis im tertiären Stadium ist nicht mehr ansteckend und manifestiert sich bei etwa 15 % der unbehandelten Fälle in Form von Gummen – proliferativen, granulomatösen, teils destruktiven Läsionen –, die auch in der Mundhöhle auftreten können. Dort finden sie sich häufig entlang der Mittellinie von Gaumen und Zunge und können ulzerieren (9).
Zusammenfassend zeigt dieser Bericht über eine Angina specifica ohne weitere Manifestationen der sekundären Syphilis bei einem heterosexuellen Mann, dass Syphilis nach wie vor eine diagnostische Herausforderung darstellt und angesichts steigender Inzidenzen konsequent in die Differenzialdiagnostik einbezogen werden sollte.
Interessenkonflikt
Keiner.
Literatur
- Hamlyn E, Marriott D, Gallagher RM. Secondary syphilis presenting as tonsillitis in three patients. J Laryngol Otol. 2006;120(7):602-604.
- Cakmak SK, Tamer E, Karadag AS, Waugh M. Syphilis: A great imitator. Clin Dermatol. 2019;37(3):182-191.
- Kolios AGA, Weber A, Spörri S, et al. Syphilitic pharyngitis. Arch Dermatol. 2010;146(5):570-572.
- Ghanem KG, Ram S, Rice PA. The Modern Epidemic of Syphilis. N Engl J Med. 2020;382(9):845-854.
- Tao YT, Gao TY, Li HY, et al. Global, regional, and national trends of syphilis from 1990 to 2019: the 2019 global burden of disease study. BMC Public Health. 2023;23(1):754.
- Centers for Disease Control and Prevention. Sexually Transmitted Disease Surveillance 2016. Atlanta: US Department of Health and Human Services; 2017. Available from: https://www.cdc.gov/std/stats16/CDC_2016_STDS_Report-for508WebSep21_2017_1644.pdf (Last accessed March 7, 2025).
- European Centre for Disease Prevention and Control. Syphilis. ECDC Annual Epidemiological Report for 2022 Stockholm: ECDC; 2024. Available from: https://www.ecdc.europa.eu/sites/default/files/ documents/SYPH_AER_2022_Report_0.pdf (Last accessed March 7, 2025).
- Jansen K, Bremer V. Syphilis in Deutschland in den Jahren 2020–2022 – Neuer Höchststand von Infektionen nach Rückgang während der COVID-19- Pandemie. Epid Bull. 2024;7:3-24.
- Schäfer H. Sexuell übertragbare Infektionen der Mundhöhle. Hautarzt. 2012;63(9):710-715.
- Stamm LV. Syphilis: Re-emergence of an old foe. Microb Cell Graz Austria. 2016;3(9):363-370.
- Leuci S, Martina S, Adamo D, et al. Oral Syphilis: a retrospective analysis of 12 cases and a review of the literature. Oral Dis. 2013;19(8):738-746.
Anna Caroline Pilz (1), Ivana Koundurdjieva (2), Kristin Technau-Hafsi (1), Frederike Hassepaß (2) Franziska Schauer (1)
- Klinik für Dermatologie, Universit.tsklinikum Freiburg, Freiburg, Deutschland
- Klinik für Hals-, Nasen- und Ohrenheilkunde, Kopf- und Halschirurgie, Universit.tsklinikum Freiburg, Freiburg, Deutschland
Die Diagnosequizze werden uns freundlicherweise zur Verfügung gestellt vom "Journal der Deutschen Dermatologischen Gesellschaft" © Deutsche Dermatologische Gesellschaft